近年來,市一醫院經開區院區骨科相繼完成多例四肢骨折內固定術,大部分是植入鋼板螺釘固定,還有部分是植入髓內釘固定。病人基本恢復情況良好,下面就其中1個病例做簡單的回顧。
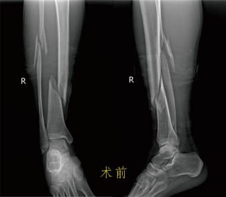
患者何某,41歲,月前因騎電動車時不慎摔倒,導致右小腿腫痛、活動受限,皮膚破裂流血不止,由120送至市一醫院經開區院區。攝DR顯示脛腓骨中下段螺旋型粉碎性骨折,骨折端明顯重疊移位。入院診斷:1.開放性脛骨下端骨折(右,粉碎性),2.腓骨骨折(右,粉碎性),3.小腿開放性傷口(右),4.高血壓。骨科醫師接診后立即在局麻下給患者進行右跟骨牽引術,起到矯正骨折畸形、恢復脛腓骨的長度及維持骨折的臨時穩定作用。經過治療處理,患者隨即表示疼痛緩解了很多,隨后在局部麻醉下對開放傷口進行了清創處理。 待患者右小腿開放傷口愈合后,檢查沒有發現紅腫熱痛、血常規白細胞增高等感染征象,進行脛骨骨折微創切開復位鋼板螺釘植入內固定。術后患者拆線出院,定期來院復查,2個月后逐步下地負重站立及行走,3個月可正常行走。
近期,何某再次來到了醫院門診復查DR片示脛腓骨折內固定術后,骨折線消失,骨折端大量骨痂生長。入住骨科,完善術前準備后,取出了鋼板螺釘,術后10天患者順利出院。
患者功能恢復良好,行走步態正常,患者及家屬對治療非常滿意!微創手術既減少了患者的痛苦,也更有利于患者的恢復。在市一醫院專家的幫扶下,市一醫院經開區院區骨科以微創治療為科室發展理念,開展了四肢骨折微創手術、脊柱的椎間孔鏡手術、關節鏡手術等治療技術。不斷攻克新的技術難關,提高醫療水平,提升患者就醫體驗,為患者提供更優質、安全、便捷醫療服務。





